دندانپزشکی دکتر وجیهه غفاری در نجف آباد اصفهان ،به مدیریت سرکار خانم وجیهه غفاری در نجف آباد اصفهان آماده ارائه خدمات به شما مشتریان و همشهریان عزیز و گرامی میباشد برای آشنایی بیشتر با این مجموعه با ما همراه باشید، ایران مشاغل سامانه سراسری برتر ثبت مشاغل کشور،لطفا در هنگام تماس و یا مراجعه حضوری بگویید شما را در ایران مشاغل دیده ایم.
خدمات دندانپزشکی دکتر وجیهه غفاری در نجف آباد اصفهان
ارائه تمامی خدمات دندانپزشکی با بهترین کیفیت کامپوزیت ، لمینت ، روکش ، عصب کشی ، کشیدن دندان اطفال با بهترین جراح متخصص ، ساعت کاری : 15 الی 20 در خدمت شما عزیزان هستیم. [tamas_start]راه های ارتباطی با دندانپزشکی دکتر وجیهه غفاری در نجف آباد اصفهان
لمینت دندان چیست؟
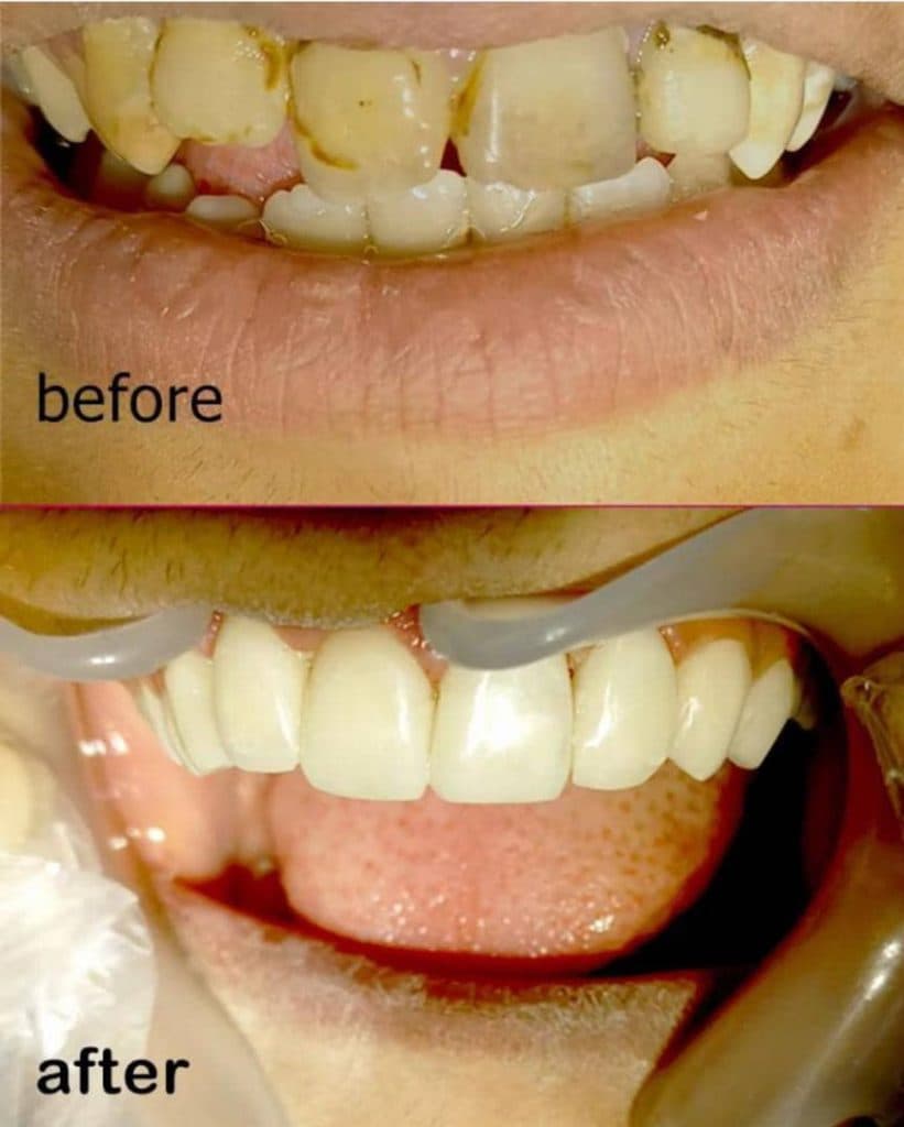
لمینت دندان به انگلیسی (Dental laminate) که به علت جنس آن برخی از دندانپزشکان آن را ونیر (Veneer) نیز مینامند، یک روکش همرنگ دندان و در عین حال نازک و با دوام است که روی سطح بیرونی دندانهای بالا و پایین را می پوشاند و ظاهر دندانهایتان را از لحاظ رنگ، اندازه و شکل تغییر میدهد. لمینتها علاوه بر خواص ظاهری که برای دندانها دارند، مزایای دیگری مانند افزایش طول عمر دندانها و بالا بردن مقاومت مینای دندان را دارند، بنابراین نصب و انجام صحیح فرآیند لمینیت دندان از اهمیت بالایی برخوردار است. اگر میخواهید بدانید که نصب لمینت دندان چگونه است، دانستن همین نکته کافی است که برای چسباندن لمینت به دندانها از یک اشعه خاص و یک نوع رزین حساس به نور استفاده می کنند.انواع لمینت دندان
انواع لمینت دندان به صورت کلی از نظر نوع مواد به دو دسته تقسیم بندی میشود: لمینت سرامیکی و لمینت کامپوزیت که با هم تفاوتهای زیادی دارند. برای مثال لمینت سرامیکی از جنس سرامیک یا به اصطلاح چینی است و برای نصب روی دندان نیاز به تراش دندان طبیعی دارد. این دو نوع لمینت دندان از نظر قیمت نیز با یکدیگر متفاوت هستند که با مشورت دندانپزشک، شرایط دندانهای شما و بودجه موردنظرتان روش لمینت مناسب خود را میتوانید انتخاب کنیدلمینت دندان سرامیکی
لمینت سرامیکی که به آن پرسلن ونیر نیز می گویند یک پوشش نازک سرامیکی با قطر کم (حدودا بین 5 الی 6 میلی متر) هستند. لمینت سرامیکی با توجه به قالب دندانهای بیمار در لابراتوار ساخته میشود و بعد از تراش دندان توسط دندانپزشک با کمک مواد مخصوص روی دندان محکم میشود.لمینت دندان کامپوزیتی
لمینت کامپوزیتی که به صورت مستقیم روی دندان اعمال میشود از جنس پلیمر (نوعی از پلاستیک) همرنگ با دندان است و معمولا در مطب دندانپزشک این ماده ابتدا به شکل خمیر در میآید، سپس روی دندان گذاشته می شود و با تابش لیزر روی دندان محکم میشود. در این نوع لمينت دندان اکثرا نیاز به تراشیدن دندان نیست و به صورت مستقیم کامپوزیتها روی دندان قرار خواهند گرفت و یک لایه محافظ روی مینای دندان خواهد بود.فرق کامپوزیت و لمینت دندان چیست؟دندانپزشکی دکتر وجیهه غفاری
اولین فرق کامپوزیت و لمینت دندان در جنس آنها است، همانطور که گفته شد لمینت سرامیکی از جنس چینی و کامپوزیت از جنس پلیمر است که در ادامه برخی از تفاوت های لمینت و کامپوزیت را خواهید خواند.- لمینت در لابراتوار و کامپوزیت در مطب ساخته میشوند.
- قیمت لمینت دندان بیشتر از کامپوزیت است.
- لمینیت ثبات رنگ بیشتری نسبت به کامپوزیت دارد.
- عمر لمینت دندان سرامیکی از کامپوزیت بیشتر است.
- در کامپوزیت دندان تراش کمتری نسبت به لمینت نیاز دارد.
- لمینیت دندان نیاز به بی حسی دارد.
- طول درمان لمینت سرامیکی از کامپوزیت بیشتر است.
کامپوزیت دندان چیست؟دندانپزشکی دکتر وجیهه غفاری
کامپوزیت در واقع همان موادی است که برای پر کردن دندانها استفاده میشود. مواد کامپوزیتی به صورت خمیری بوده و همرنگ دندانهاست که یک لایه نازک از آن بر روی سطح دندان قرار میگیرد و فرم داده میشود. برای تثبیت این مواد، دندانپزشک پس از فرمدهی بر روی دندان، آن را به کمک نور آبی سخت میکند.انواع کامپوزیت دندان ،دندانپزشکی دکتر وجیهه غفاری
کامپوزیتها مواد رزینی هستند که با توجه به تعداد و اندازه ذراتشان در دستههای مختلف قرار میگیرند و کاربردهای مختلفی نیز دارند. به طور کلی میتوان مواد کامپوزیتی را به چهار گروه تقسیم کرد.- کامپوزیت نوع هیبرید
- کامپوزیت میکروفیلد
- کامپوزیت نانوفیلد
- IPS ونیرها




.jpeg&w=3840&q=75)






.jpeg&w=3840&q=75)