دندانسازی امینی در مشهد: بهترین انتخاب برای لبخند دلخواه شما
دندانسازی امینی در مشهد ، داشتن لبخندی زیبا و جذاب آرزوی بسیاری از افراد است. دندانهای سالم و مرتب نه تنها بر زیبایی ظاهری تاثیرگذارند، بلکه نقش مهمی در سلامت دهان و دندان نیز دارند. یکی از راههای دستیابی به لبخند دلخواه، استفاده از پروتزهای دندانی است. اما انتخاب یک لابراتوار دندانسازی معتبر و با تجربه برای ساخت این پروتزها از اهمیت بالایی برخوردار است. در این مقاله به معرفی لابراتوار دندانسازی امینی در مشهد میپردازیم که با ارائه خدمات باکیفیت و استفاده از تکنولوژی پیشرفته توانسته است رضایت مشتریان خود را جلب کند.
اهمیت انتخاب یک لابراتوار دندانسازی معتبر
انتخاب یک لابراتوار دندانسازی مناسب برای ساخت پروتزهای دندانی بسیار مهم است. زیرا کیفیت پروتزها تاثیر مستقیم بر سلامت دهان و دندان دارد. پروتزهای با کیفیت پایین میتوانند باعث ایجاد مشکلات لثهای، پوسیدگی دندانها و حتی عفونت شوند. از طرف دیگر، پروتزهای با کیفیت بالا علاوه بر زیبایی، اعتماد به نفس شما را نیز افزایش میدهند.
لابراتوار دندانسازی امینی؛ یک انتخاب هوشمندانه
لابراتوار دندانسازی امینی با سالها تجربه در زمینه ساخت پروتزهای دندانی، یکی از بهترین گزینهها برای افرادی است که به دنبال لبخندی زیبا و طبیعی هستند. این لابراتوار با بهرهگیری از تکنولوژیهای روز دنیا و استفاده از مواد اولیه با کیفیت، پروتزهایی با استانداردهای جهانی تولید میکند.
خدمات تخصصی ارائه شده توسط لابراتوار امینی
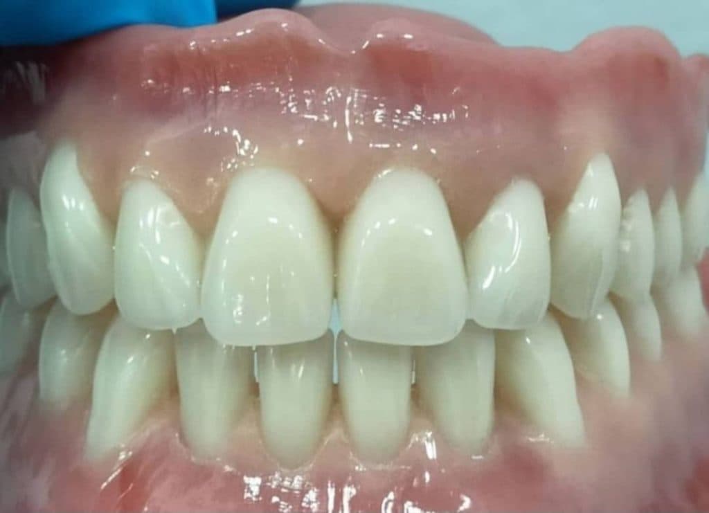
ساخت انواع دندان های مصنوعی ، پروتز های متحرک دندان با بهترین کیفیت
- پروتزهای ثابت: این نوع پروتزها به صورت دائمی بر روی دندانها نصب میشوند و شامل روکش، بریج و لمینیت میشوند.
- پروتزهای متحرک: این پروتزها قابل جابجایی هستند و برای جایگزینی دندانهای از دست رفته استفاده میشوند.
- ایمپلنت: ایمپلنت یک جایگزین دائمی برای ریشه دندان است که برای نگهداری پروتزهای دندانی استفاده میشود.
- ارتودنسی: لابراتوار امینی با همکاری متخصصین ارتودنسی، خدمات ارتودنسی را نیز ارائه میدهد.
استفاده از تکنولوژی پیشرفته در لابراتوار امینی
لابراتوار دندانسازی امینی برای تولید پروتزهای دقیق و با کیفیت از آخرین تکنولوژیها استفاده میکند. این تکنولوژیها شامل دستگاههای CAD/CAM، اسکنرهای سه بعدی و نرمافزارهای طراحی پیشرفته هستند.
تیم متخصص و مجرب لابراتوار امینی
تیم حرفهای و مجرب لابراتوار دندانسازی امینی شامل دندانپزشکان، تکنسینهای دندانسازی و مشاوران با تجربه است. این تیم با همکاری یکدیگر برای ارائه بهترین خدمات به مشتریان تلاش میکنند.
فرآیند ساخت پروتزهای دندانی در لابراتوار امینی
فرآیند ساخت پروتزهای دندانی در لابراتوار امینی شامل مراحل زیر است:
- طراحی پروتز: پس از بررسی وضعیت دهان و دندان بیمار، طرح پروتز مناسب توسط دندانپزشک طراحی میشود.
- ساخت قالب: قالب دقیق از دندانهای بیمار گرفته میشود تا پروتز به طور کامل با دهان بیمار هماهنگ باشد.
- ساخت پروتز: بر اساس قالب تهیه شده، پروتز با استفاده از مواد اولیه با کیفیت و تکنولوژی پیشرفته ساخته میشود.
- کنترل کیفیت: پروتز ساخته شده قبل از تحویل به بیمار تحت کنترل کیفیت دقیق قرار میگیرد.
مزایای استفاده از خدمات لابراتوار دندانسازی امینی
استفاده از خدمات لابراتوار دندانسازی امینی مزایای بسیاری دارد که برخی از آنها عبارتند از:
- تضمین کیفیت و ماندگاری پروتزها: لابراتوار امینی با استفاده از مواد اولیه با کیفیت و تکنولوژی پیشرفته، پروتزهایی با بالاترین استانداردها تولید میکند.
- مشاوره رایگان و تخصصی: تیم مشاوره لابراتوار امینی آماده ارائه مشاوره رایگان به شما برای انتخاب بهترین گزینه درمانی است.
- قیمت مناسب و رقابتی: لابراتوار امینی با ارائه خدمات با کیفیت، قیمتهای مناسب و رقابتی را در نظر گرفته است.
- خدمات پس از فروش: لابراتوار امینی پس از تحویل پروتز، خدمات پس از فروش را نیز ارائه میدهد تا از رضایت مشتریان خود اطمینان حاصل کند.
نظرات مشتریان درباره لابراتوار دندانسازی امینی
رضایت مشتریان یکی از مهمترین عوامل موفقیت یک لابراتوار دندانسازی است. لابراتوار امینی با ارائه خدمات با کیفیت توانسته است رضایت بسیاری از مشتریان خود را جلب کند. نظرات مثبت مشتریان درباره کیفیت پروتزها، رفتار پرسنل و قیمت مناسب از جمله دلایل محبوبیت این لابراتوار است.
در این صفحه با توضیحات و معرفی دندانسازی در مشهد همراه شما بودیم برای ارتباط با مجموعه دندانسازی امینی در مشهد به مدیریت امینی میتوانید از قسمت اطلاعات تماس استفاده کنید.




.jpeg&w=3840&q=75)






.jpeg&w=3840&q=75)