خدمات مطب دندانپزشکی دکتر سپیده علیزاه در تبریز
تجربه یک لبخند زیباجراحی و کشیدن دندان
جراحی و کشیدن دندان دو روش پزشکی است که برای درمان مشکلات دندانی و پایان دادن به درد و عوارضی که ممکن است به وجود بیایند، به کار میروند. در مواردی که دندان دچار تخریب شدید یا عفونت شده است و درمانهای دیگر موثر نبوده، جراحی و کشیدن دندان ممکن است لازم باشد. این فرآیند با استفاده از تجهیزات و تکنیکهای پیشرفته انجام میشود تا درد و عوارض جانبی به حداقل رسیده و بهبودی بیشتری برای بیمار فراهم شود. پس از انجام جراحی یا کشیدن دندان، مراقبتهای پساعملی مهم است تا عوارض مختلفی مانند عفونت، خونریزی بیش از حد، یا درد مزمن جلوگیری شود و فرآیند بهبودی به درستی ادامه یابد.کودکان
خدمات مطب دندانپزشکی برای کودکان شامل یک سری اقدامات و خدمات تخصصی است که با هدف حفظ و بهبود سلامت دندانها و دهان کودکان ارائه میشود. این خدمات شامل بررسیهای دورهای و پیشگیری از بیماریهای دندانی، تعیین برنامههای بهداشت دهانی، ترمیم دندانهای تخریبشده، کشیدن دندانهای شکسته یا آسیبدیده، و ارائه راهنماییهای مربوط به تکنیکهای بهداشت دهانی به کودکان و والدینشان میشود. همچنین، مطب دندانپزشکی برای کودکان ممکن است خدماتی مانند انجام اندو کانال، تعویض دندانهای گمشده با پروتزهای مخصوص کودکان، و درمان اختلالات مربوط به ترکیب و موقعیت دندانها نیز ارائه دهد. این خدمات با رویکردی دوستانه و با استفاده از تجهیزات و مواد مناسب برای کودکان ارائه میشود تا فرآیند درمان برای آنها تا حد امکان دلپذیر و ترسآور نباشد و از زیر بنایی بهبود سلامت دهانی آنها برخوردار شود.ترمیم و زیبایی
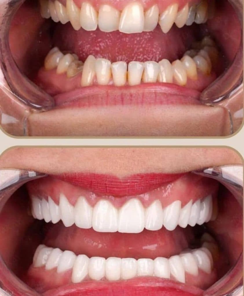
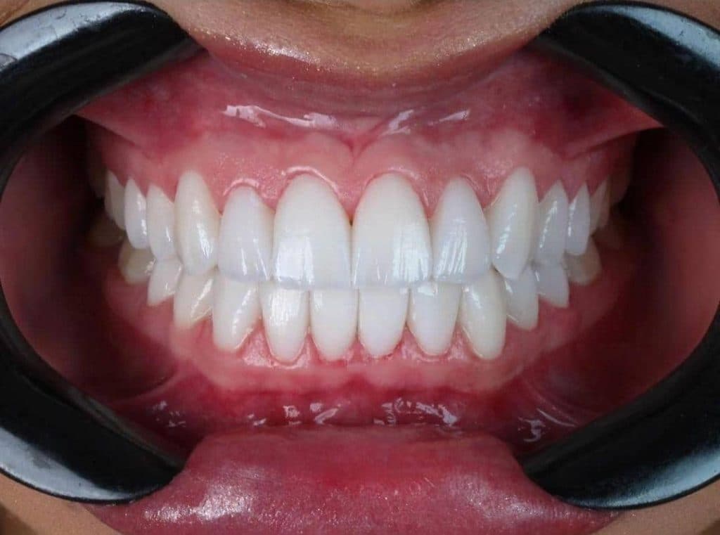
ترمیم و زیبایی دندان از روشها و فرآیندهایی است که به منظور بهبود ظاهر و کارکرد دندانها انجام میشود. این فرآیندها شامل انواع ترمیمهای دندانی مانند پر کردن دندانهای دچار تخریب، ترمیم دندانهای شکسته، و بازسازی دندانهای معیوب و زخیم است. علاوه بر این، فرآیندهای زیبایی دندان شامل روشهایی مانند ارتقاء رنگ و شکل دندانها، اعمال پوستههای سرامیکی یا کامپوزیتی بر روی دندانها، و انجام روشهای بلیچینگ و اصلاحات زیبایی دیگر میشود. این فرآیندها با استفاده از مواد و تکنیکهای پیشرفته، با دقت و حرفهای انجام میشوند تا دندانها به ظاهری زیبا و طبیعی دست یابند و از عملکرد بهتری برخوردار باشند، در نتیجه افراد از اعتماد به نفس بیشتری بهرهمند میشوند و لبخندی جذابتر را به نمایش میگذارند.پروتز ( ساخت دندان مصنوعی )
درمان ریشه
جرمگیری
زیبایی ( کامپوزیت ونیر ، لیمنت ونیر ، بوتاکس )
با کمتر از 3 سال سابقه ی درخشان کاری ، همه روزه صبح و عصر ساعت 10 صبح الی 20
مطب دندانپزشکی دکتر سپیده علیزاه در تبریز
کامپوزیت دندان چیست ؟
کاربرد های کامپوزیت دندان :
- پر کردن دندانهای پوسیده: پس از برداشتن قسمتهای پوسیده، کامپوزیت برای پر کردن حفرههای ایجاد شده استفاده میشود.
- باندینگ دندان: برای برطرف کردن عیوب ظاهری و مشکلات جزئی در دندانها میتوان از باندینگ کامپوزیت استفاده کرد.
- کمک به اتصال لمینتها: کامپوزیت میتواند به عنوان ماده چسبنده برای اتصال لمینتها به دندانها استفاده شود.
مزایای کامپوزیت دندان :
- ظاهر طبیعی و رنگشده مشابه دندانهای واقعی
- روش ترمیمی محافظهکارانهتر و ارزانتر نسبت به سایر گزینهها
- قابلیت چسبندگی به دندانها
لمینیت دندان چیست؟
لمینیت دندان یک روش زیباییشناسی است که برای بهبود ظاهر دندانهای جلویی استفاده میشود خانم دکتر سپیده علیزاه . این روش شامل چسباندن یک لایه نازک و سفید رنگ به سطح جلویی دندانها است. لمینیتها در واقع پوستههای نازک و شیشهای شکلی هستند که با استحکام بسیار بالا ساخته میشوند. این پوستهها برای پوشاندن و بهبود سطح رویی دندانها به کار میروند.انواع لمینیت دندان:
لمینیت سرامیکی (پرسلن ونیر)
این نوع لمینیتها از جنس سرامیک (چینی) ساخته میشوند و به ضخامت 0.5 میلیمتر هستند.لمینیت کامپوزیتی
این لمینیتها از مواد رزینی ساخته شده و توسط دندانپزشک مستقیماً بر روی دندانها قرار داده میشوند.مراحل انجام لمینیت دندان
آمادهسازی دندان ها
ابتدا یک لایه نازک از سطح دندانها برداشته میشود.ساخت لمینیت ها
لمینیتها در آزمایشگاه دندانسازی ساخته میشوند.چسباندن لمینیت ها
لمینیتها با استفاده از مواد چسبنده به سطح دندانها متصل میشوند.
انواع پروتز متحرک
انواع مختلفی از پروتزهای دندانی متحرک وجود دارد که می توان از آنها برای جایگزینی دندان های از دست رفته استفاده کرد خانم دکتر سپیده علیزاه . نوع پروتز به تعداد دندان های از دست رفته، سلامت دهان و لثه ها و ترجیحات فرد بستگی دارد.
پروتزهای متحرک دندان یکی از راههای موثر برای ترمیم و جبران دندانهای گمشده و یا تخریب شده میباشند. این انواع پروتزها شامل پروتزهای جزئی و کامل میشوند، که به ترتیب برای جبران یک یا چند دندان گمشده و یا تخریب شده و جایگزینی آنها به کار میروند.
پروتزهای متحرک دندان معمولاً شامل پروتزهای جامد، نیمه متحرک، و تختههای متحرک میشوند که با توجه به نیازهای فرد و شرایط دندانی او، طراحی و ساخته میشوند. این پروتزها باعث بهبود ظاهر زیبایی و کارایی دندانها میشوند و به افراد امکان میدهند تا با اطمینان بیشتر در برابر خود و دیگران حرکت کنند و از غذاهای مختلف بدون مشکل لذت ببرند.
رایج ترین انواع پروتزهای متحرک عبارتند از:
دست دندان کامل
این نوع پروتز برای جایگزینی تمام دندان های یک قوس دندانی استفاده می شود. از اکریلیک یا فلز ساخته شده و با چسب مخصوص در جای خود نگه داشته می شود.
پروتز پارسیل
این نوع پروتز برای جایگزینی چند دندان از دست رفته در یک قوس دندانی استفاده می شود. از اکریلیک، فلز یا ترکیبی از هر دو ساخته شده است و با گیره های فلزی یا اتصالات پلاستیکی به دندان های طبیعی باقی مانده متصل می شود.
اوردنچر
این نوع پروتز برای جایگزینی دندان های از دست رفته در قوس دندانی که دارای چند ایمپلنت دندانی است استفاده می شود. پروتز به ایمپلنت ها متصل می شود که ثبات و استحکام بیشتری را فراهم می کند.
پروتز فلیپر
این نوع پروتز موقتی است که برای جایگزینی یک یا چند دندان از دست رفته استفاده می شود. از اکریلیک ساخته شده است و با لثه های پلاستیکی در جای خود نگه داشته می شود.











.jpeg&w=3840&q=75)


.jpeg&w=3840&q=75)