کلینیک تخصصی دندانپزشکی دکتر حسینی در کازرون ، به مدیریت آقای دکتر حسینی در کازرون آماده ارائه خدمات به شما عزیزان می باشد برای آشنایی بیشتر با این مجموعه همراه ما باشید ایران مشاغل سامانه برتر ثبت مشاغل کشور در هنگام تماس و یا مراجعه حضوری بگویید شما را در ایران مشاغل دیده ایم.
خدمات کلینیک تخصصی دندانپزشکی دکتر حسینی در کازرون
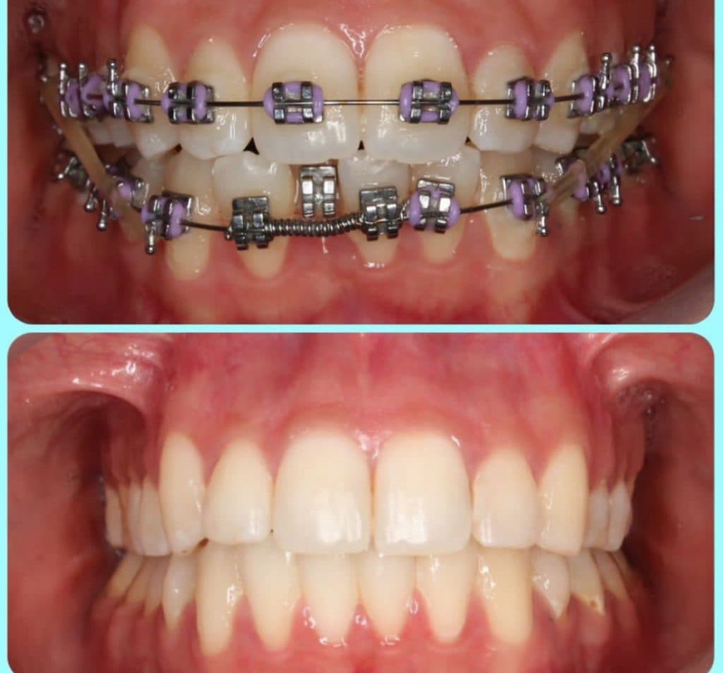
✅خدمات کامل ایمپلنت ✅لمینیت ✅کامپوزیت ✅عصب کشی ✅پروتز ✅ترمیم ✅جراحی ✅دندان مصنوعی ✅ارتودنسی ( اطفال و بزرگسال ) ⏰ساعت کاری : 8:00 الی 13:00 ⏰16:0 الی 21:00 بصورت یکسره و همه روزه جز پنجشنبه عصر
کلینیک تخصصی دندانپزشکی دکتر حسینی در کازرون
ایمپلنت دندان چیست؟
- ایمپلنت دندان یک روش جایگزینی دندانهای از دست رفته است.
- در این روش، یک چارچوب فلزی (معمولاً از جنس تیتانیوم) به طور جراحی در استخوان فک کاشته میشود.
- این چارچوب فلزی به عنوان ریشه مصنوعی دندان عمل میکند و روی آن یک تاج دندان مصنوعی نصب میشود.
انواع ایمپلنت دندان:
- ایمپلنت اندوستیال (ریشهای شکل): رایجترین نوع ایمپلنت که به صورت پیچ یا تیغه در استخوان فک قرار میگیرد.
- ایمپلنت ساب پریوستال: برای افرادی که استخوان فک کافی ندارند، در بالای استخوان فک و زیر لثه قرار میگیرد.
- ایمپلنت زیگوماتیک: برای افرادی که استخوان فک به شدت تحلیل رفته است، به استخوان فک بالا پیچیده میشود.
مزایای ایمپلنت دندان:
- جایگزینی دائمی دندانهای از دست رفته
- حفظ سلامت دندانهای مجاور
- بهبود ظاهر و عملکرد دهان
- افزایش اعتماد به نفس
کامپوزیت دندان چیست؟
کامپوزیت دندان یک ماده ترمیمی رزینی و رنگشده است که برای پر کردن و ترمیم دندانهای آسیبدیده یا پوسیده استفاده میشود.
این ماده به صورت خمیری و قابل شکلدهی است که توسط دندانپزشک روی سطح دندان قرار داده و با استفاده از نور آبی سخت و محکم میشود.
کاربردهای کامپوزیت دندان:
- پر کردن دندانهای پوسیده: پس از برداشتن قسمتهای پوسیده، کامپوزیت برای پر کردن حفرههای ایجاد شده استفاده میشود.
- باندینگ دندان: برای برطرف کردن عیوب ظاهری و مشکلات جزئی در دندانها میتوان از باندینگ کامپوزیت استفاده کرد.
- کمک به اتصال لمینتها: کامپوزیت میتواند به عنوان ماده چسبنده برای اتصال لمینتها به دندانها استفاده شود.
مزایای کامپوزیت دندان:
لمینیتها در واقع پوستههای نازک و شیشهای شکلی هستند که با استحکام بسیار بالا ساخته میشوند. این پوستهها برای پوشاندن و بهبود سطح رویی دندانها به کار میروند.
انواع لمینیت دندان:
1. لمینیت سرامیکی (پرسلن ونیر): این نوع لمینیتها از جنس سرامیک (چینی) ساخته میشوند و به ضخامت 0.5 میلیمتر هستند.
2. لمینیت کامپوزیتی: این لمینیتها از مواد رزینی ساخته شده و توسط دندانپزشک مستقیماً بر روی دندانها قرار داده میشوند.
مراحل انجام لمینیت دندان:
1. آمادهسازی دندانها: ابتدا یک لایه نازک از سطح دندانها برداشته میشود.
2. ساخت لمینیتها: لمینیتها در آزمایشگاه دندانسازی ساخته میشوند.
3. چسباندن لمینیتها: لمینیتها با استفاده از مواد چسبنده به سطح دندانها متصل میشوند.
- ظاهر طبیعی و رنگشده مشابه دندانهای واقعی
- روش ترمیمی محافظهکارانهتر و ارزانتر نسبت به سایر گزینهها
- قابلیت چسبندگی به دندانها
لمینیتها در واقع پوستههای نازک و شیشهای شکلی هستند که با استحکام بسیار بالا ساخته میشوند. این پوستهها برای پوشاندن و بهبود سطح رویی دندانها به کار میروند.
انواع لمینیت دندان:
1. لمینیت سرامیکی (پرسلن ونیر): این نوع لمینیتها از جنس سرامیک (چینی) ساخته میشوند و به ضخامت 0.5 میلیمتر هستند.
2. لمینیت کامپوزیتی: این لمینیتها از مواد رزینی ساخته شده و توسط دندانپزشک مستقیماً بر روی دندانها قرار داده میشوند.
مراحل انجام لمینیت دندان:
1. آمادهسازی دندانها: ابتدا یک لایه نازک از سطح دندانها برداشته میشود.
2. ساخت لمینیتها: لمینیتها در آزمایشگاه دندانسازی ساخته میشوند.
3. چسباندن لمینیتها: لمینیتها با استفاده از مواد چسبنده به سطح دندانها متصل میشوند.









.jpeg&w=3840&q=75)



